-
华为发布城市一张网总体架构助力一网通城,释放城市数据及算力潜能详细阅读
近日,华为发布了城市一张网总体架构,旨在助力实现“一网通办、一网通城”。这一架构将通过集成数字技术、人工智能、5G等技术,释放城市数据及算力潜能,推动城市智能化发展。城市一张网总体架构的关键特点:集成...
2024-05-30 898
-
中国女排逆转荷兰!吴梦洁惊艳表现,朱婷压哨出场详细阅读
中国女排在与荷兰队的比赛中进行了一场惊心动魄的逆转,凭借着吴梦洁的惊艳表现和朱婷的压哨出场,最终取得了胜利。这场比赛无疑是中国女排精彩历史中的一环,让我们一起来看看背后的故事和技术细节。吴梦洁惊艳表现...
2024-05-30 322
-
苹果新系统来了,界面大改详细阅读
苹果新系统来了,局面大变苹果已经宣布,今年的全球开发者大会将在北京时间月日晚间正式开启。这意味着大家期待已久的系统就要来了。据悉,此前外界的多方爆料,其新功能变化将基于技术展开。而除此之外,在界面设计...
2024-05-30 1.1K+ 苹果新系统来了界面大改
-
苹果新专利自我修复折叠屏幕技术引领未来智能手机革命详细阅读
###随着科技的不断进步,智能手机行业正迎来前所未有的变革。其中,折叠屏手机因其独特的可折叠特性和更大的显示面积,成为了市场上的新宠。然而,折叠屏手机的一个主要挑战是其耐用性和屏幕的自我修复能力。近日...
2024-05-30 653
-
苹果或调整iPad Logo方向以适应用户使用习惯详细阅读
苹果公司高级员工面临挑战:适应用户需求与未来科技融合在科技迅速发展的今天,苹果公司的高级员工们正面临着前所未有的挑战。随着用户对学习环境的需求日益增长,苹果公司正在对其高级员工进行严格的审视,以确保他...
2024-05-30 673 苹果或调整 方向以适应用户使用习惯
-
梅西效应搓澡巾的激战年与消费心理的变迁详细阅读
在当今这个信息爆炸的时代,名人的一举一动都可能成为市场的风向标。梅西,这位足球界的传奇人物,不仅在绿茵场上创造了无数辉煌,也在商业领域展现了他独特的魅力。本文将探讨梅西如何影响搓澡巾市场,以及消费者购...
2024-05-30 738
-
下个月有什么新电影上映详细阅读
**探讨产品发布活动策略及新功能预览**亲爱的朋友们,我们迫不及待地想要与您分享一项令人兴奋的消息:下个月将举行产品发布活动,届时您将有机会率先了解我们的最新功能!我们对此充满期待,并期望您也能参与其...
2024-05-30 446 下个月有什么新电影上映 下个月见表情包 下个月电影 播放下个月 下个月有什么特别的意思吗?
-
太阳能照亮整个太阳系吗?详细阅读
在宇宙中,太阳是我们太阳系中心的恒星,它通过核聚变不断释放能量,并将光和热能传播到太阳系中的每个角落。然而,要弄清楚太阳的光线是否足够照亮整个太阳系,我们需要做一些简单的物理计算。太阳的亮度太阳的光线...
2024-05-30 888
-
揭秘即将发布的海外版全球化战略的新篇章详细阅读
###在全球化的今天,产品的国际化已成为企业发展的重要战略之一。随着市场的不断扩大和消费者需求的多样化,越来越多的企业开始将目光投向海外市场。本文将深入探讨即将发布的海外版产品,分析其背后的全球化战略...
2024-05-30 185 即将发布 海外版手机 海外版本 都有海外版
-
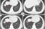
肺鳞癌化疗治疗及副作用管理详细阅读
肺鳞癌是一种恶性肿瘤,通常需要采取综合治疗方案,化疗是常用的治疗手段之一。化疗可以通过药物杀死或阻止癌细胞的增殖,帮助患者控制病情、缓解症状、提高生存率。然而,化疗也会伴随一系列副作用,如恶心、呕吐、...
2024-05-30 323
