脑膜瘤生长速度快吗?如何选择手术时间?
在颅内肿瘤中,脑膜瘤很常见,占颅内肿瘤的19.2%。发病以成人多见,儿童较少,女性多于男性。脑膜瘤原发于蛛网膜内皮细胞,颅内蛛网膜颗粒与蛛网膜绒毛分布较多之处,都是脑膜瘤的好发部位。脑膜瘤在颅内分布很广,几乎各部位都可发生。此外,脑膜瘤有多发的特点,大的如拳头,小的如核桃或粟粒。
虽然脑膜瘤多为良性,但随着肿瘤的长大,同样会导致颅内压升高,压迫脑组织,形成脑疝,导致中枢神经损害,危及患者生命,因此,早期患者应当引起重视。
什么样的生长速度算正常的?生长速度多快时,就必须要手术了?
文献报道,脑膜瘤的平均生长速度大约是每年直径长1~2mm,每种肿瘤、每个人的肿瘤生长速度都是不一样的,而且也不是匀速生长。只要肿瘤有生长,就不正常,需要尽早做手术,特别是那些生长速度很快的脑膜瘤,越早做手术越好。
比如,发现脑膜瘤,半年后第一次复查时,发现肿瘤有明显增大,就应该及早手术。如果说第一次复查时没什么变化,第二、三次复查时,发现肿瘤明显增大了,也要尽早手术。
脑膜瘤患者出现哪些症状就说明要手术了?
只要脑膜瘤引起了症状,脑膜瘤生长速度快吗?如何选择手术时间?就需要尽快手术。脑膜瘤引起的症状非常多,取决于肿瘤的位置、大小。比如有的肿瘤很大,会导致脑内压增高,出现颅内压高的表现,比如头痛、恶心、呕吐。但通常脑膜瘤引起颅内压高的问题时,表明病情已经很严重了。
对于那些颅底脑膜瘤,由于颅底分布着12对非常重要的神经,肿瘤压迫哪根神经,相应的神经功能就会受到影响。比如肿瘤压迫控制眼球活动的动眼神经,眼球活动受到影响,看东西有重影。如果肿瘤压迫了管听力的听神经,会出现听力减退甚至耳聋。肿瘤压迫舌咽神经和迷走神经,会出现吞咽困难、说话含糊不清、声音嘶哑、饮水呛咳等症状。
观察期间,脑膜瘤的大小没怎么变化,但是不同位置又出现新的脑膜瘤,这是为什么?是转移吗?
脑膜瘤大多是良性肿瘤,不会转移。这种情况,在医学上称为多发的脑膜瘤,发病率非常低,大概1%~8%。为什么会出现多个脑膜瘤,目前还不清楚,有多种学说试图解释这种现象。比如“多起源学说”认为,脑膜瘤既然会在这个地方长,就有可能在别的地方长。还有“单独起源学说”,认为肿瘤细胞会随着脑脊液的流动,播散到脑膜其他位置,从而出现多个脑膜瘤。还有一种非常少见的遗传性疾病——神经纤维瘤病,也会导致脑膜瘤多发。
脑膜瘤大多数是从脑部的某种组织细胞分化出来,一般是从脑的外侧压进去,九成都是良性,也因为生长速度比较缓慢,有时症状不明显,有不少案例是等到出现症状时,就医透过核磁共振或脑部断层扫描检查才发现病灶。如果置之不理使肿瘤长得更大时,可能会吃穿脑骨,甚至压迫脑干危及生命。莫名头痛、视力减退慎防脑瘤作祟。
大脑是人体最精密的器官,有些微变化都可能引发重大改变,如果有莫名的慢性头痛、精神状况改变、突然癫痫,一侧或两侧视力减退等症状时,应提高警觉到神经外科就医检查,以免耽误了治疗时机。
但是,脑膜瘤能切多少,能不能切得更干净,还取决于医生的手术技术和经验。因此,脑膜瘤患者一旦需要做手术,最好找手术经验丰富的医生,成功率相对较高、致残率相对较低。但是这并不代表名气大、经验丰富的医生做手术就不会有风险,只不过手术的风险相对要低一些。
脑膜瘤影像学诊断及治疗
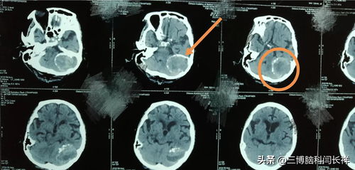
脑膜瘤的临床特点是发病缓、病程长。不同部位脑膜瘤可有不同的临床表现,因成年人发病较多,故成年人有慢性头痛、癫痫、一侧或两侧视力减退、共济失调等,特别是伴有进行性加重的颅内压增高症状时,要考虑脑膜瘤的可能性。通过做头部CT、核磁共振(MRI)或头部PET/CT,可对脑膜瘤早期确诊。

脑膜瘤属实质外生长的肿瘤,大多属良性。对脑膜瘤的治疗,以手术切除为主。原则上应争取完全切除,并切除受肿瘤侵犯的脑膜与骨质,以期根治。越早发现,越早手术,效果越好,风险越小。
相关文章
-
轻松掌握浏览器缓存清理技巧,让上网体验更流畅详细阅读
在日常使用电脑或手机浏览网页时,你是否遇到过网页加载缓慢、显示异常或者某些功能无法正常使用的情况?这些问题可能与浏览器缓存有关,什么是浏览器缓存?为什...
2026-05-27 2
-
动画Flash—数字世界的魔法画笔,带你走进创意与互动的奇妙旅程详细阅读
在数字技术日新月异的时代,有一种工具曾像一位神奇的魔法师,在互联网舞台上大放异彩,它就是我们今天要聊的主角——动画Flash,或许你对这个名字并不陌生...
2026-05-27 4
-
如何让你的网站活起来?一份超实用的网站运营方案指南详细阅读
引言:为什么你的网站需要一个“大脑”?想象一下,你刚刚开了一家新咖啡馆,装修得温馨舒适,菜单设计得别具一格,甚至连门口的小摆件都充满了创意,如果没有人...
2026-05-27 5
-
深入浅出解析ISP,互联网服务提供商的核心作用与未来趋势详细阅读
在当今数字化时代,互联网已经成为人们生活中不可或缺的一部分,无论是工作、学习还是娱乐,我们几乎每天都在依赖互联网完成各种任务,在享受高速网络带来的便利...
2026-05-27 6
-
解锁阿里云盘的隐藏福利!邀请码如何让你躺着享受更多存储空间?详细阅读
在这个数字化时代,我们的生活已经离不开各种“云”,照片、视频、文档……这些珍贵的数据就像我们生活中的“宝藏”,而云盘就是存放它们的“保险箱”,面对日益...
2026-05-27 6
-
Auto到底是什么意思?科技领域的多面解读与应用场景详细阅读
在现代科技和日常生活中,“auto”这个词频繁出现,但它究竟意味着什么?如果你对“auto”的含义感到困惑,那么你并不孤单,这个简单的词汇实际上承载了...
2026-05-27 5
-
R2V 使用指南,从入门到精通,轻松掌握矢量化工具详细阅读
在数字化时代,地图、图纸和设计稿的数字化处理变得尤为重要,无论是建筑设计、地理信息系统(GIS)还是工业制图,将纸质图纸转化为数字格式是许多专业人士的...
2026-05-27 7
-
垂直搜索引擎,如何在信息海洋中精准找到你的宝藏?详细阅读
在这个数字化的时代,互联网就像一片浩瀚的海洋,充满了数以亿计的信息,我们每天都在这片“海洋”中寻找我们需要的东西,比如一家靠谱的餐厅、一件心仪的服装,...
2026-05-27 6
