-
脑膜瘤生长速度快吗?如何选择手术时间?详细阅读
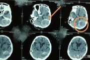
在颅内肿瘤中,脑膜瘤很常见,占颅内肿瘤的19.2%。发病以成人多见,儿童较少,女性多于男性。脑膜瘤原发于蛛网膜内皮细胞,颅内蛛网膜颗粒与蛛网膜绒毛分布较多之处,都是脑膜瘤的好发部位。脑膜瘤在颅内分布很...
2024-08-13 1.1K+ 脑膜瘤生长速度快吗?如何选择手术时间?
在颅内肿瘤中,脑膜瘤很常见,占颅内肿瘤的19.2%。发病以成人多见,儿童较少,女性多于男性。脑膜瘤原发于蛛网膜内皮细胞,颅内蛛网膜颗粒与蛛网膜绒毛分布较多之处,都是脑膜瘤的好发部位。脑膜瘤在颅内分布很...
2024-08-13 1.1K+ 脑膜瘤生长速度快吗?如何选择手术时间?